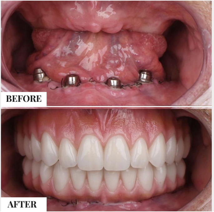
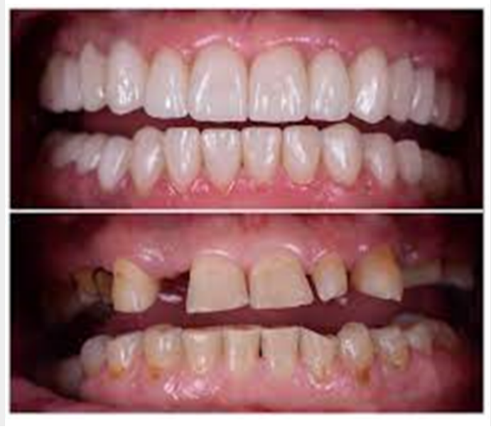
At Dr. Pandit's Dental And Implant Center, New DelhiWe Are Dedicated To Providing You With The Best Dental Care. We Are Committed To Giving You Individualized Attention And Explain The Various Dental Treatment Options So You Can Take Informed Decisions.An ISO 9001-2015 Certified Clinic Established In 2013. Equipped With Latest Dental Equipments And Technology. Providing Quality & Transparent Dental Treatment At Affordable Cost. Patients Well-Being Is Our Chief Concern-> We Offer Most Cost Optimized Treatment-> We Use Highest Quality Materials-> Great Attention To Patient Pre-Post Treatment-> Concentrate On One Patient At A Time-> For Your Safety, We Use Complete I...
































